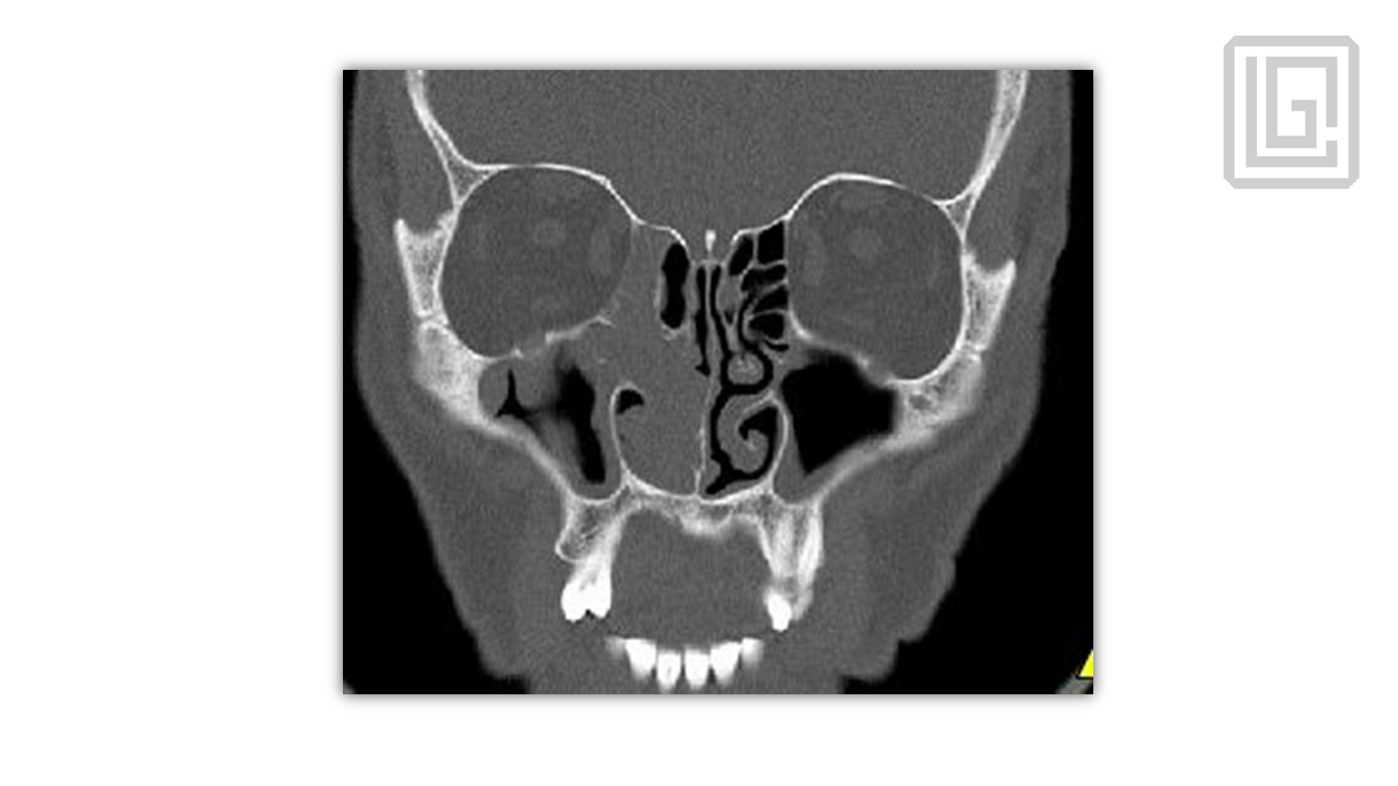
Functional Endoscopic Sinus Surgery: Anatomy & Technique (26.05.2018)

In-depth presentation on the pathophysiology of chronic rhinosinusitis, radiologic planning, sinonasal anatomy, and step-by-step FESS surgical protocol. Covers infundibulum, osteomeatal complex, surgical landmarks, instrumentation, complications, and postoperative management. Presented by Dr. Levon Galstyan.