-
- Nose reshaping (Rhinoplasty) - Periorbital Rejuvenation (Blepharoplasty) - Periorbital rejuvenatin (Brow lift) - Ottoplasty - Cheiloplasty (Paris, Bullhorn Lip Lift, etc.)- Immediate dental implants - Digital Implant Dentistry - Implant fixed removable dentures - Implant fixed non removable dentures
-
For Patients
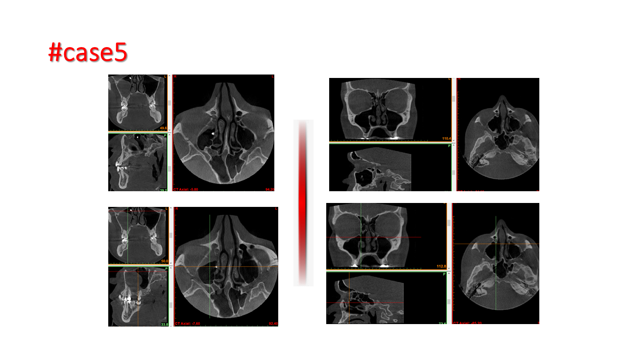
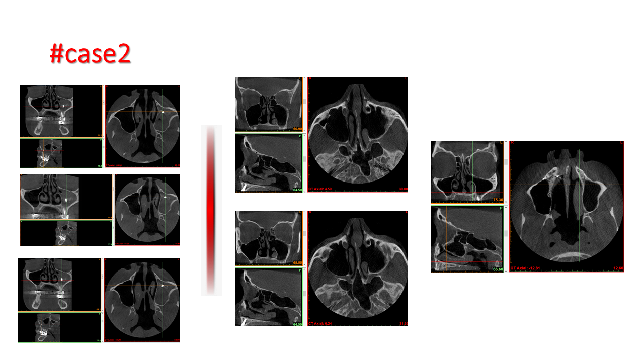
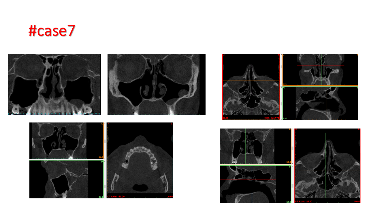
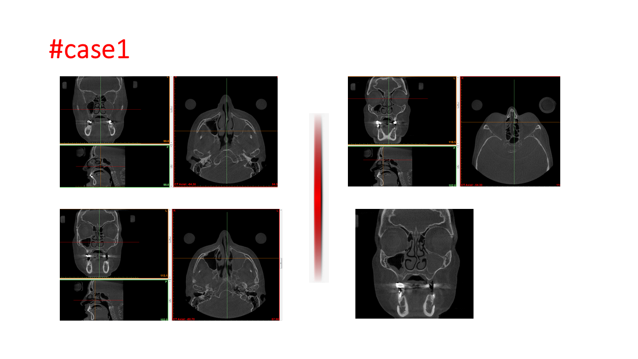
FESS Case Review and Radiologic Analysis (30.09.2016)
Case-based presentation focused on pre- and postoperative imaging in functional endoscopic sinus surgery (FESS). Includes anatomical landmarks, surgical variations, sinus pathology, and technique evaluation. Delivered by Dr. Levon Galstyan at AAOMFS.